Шеф Одељења
др сци. вет. мед. Божидар Савић, научни саветник
Сарадници на Одељењу
др сци. вет. мед. Бранислав Курељушић, научни саветник
др сци. вет. мед. Немања Јездимировић, виши научни сарадник
др вет. Бојан Миловановић
Технички сарадници на Одељењу
Милош Радуловић, ветеринарски техничар
Опис основних активности на Одељењу
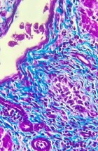
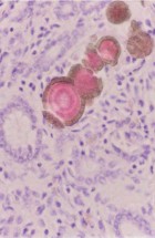
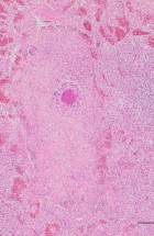
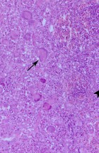
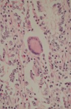
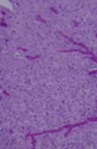
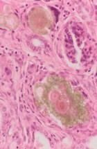
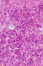
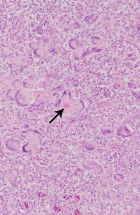
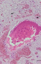
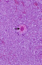
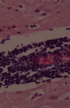
Делатност Одељења обухвата истраживачки и специјалистичко – стручни рад. Одељење се бави клиничком, патоанатомском, патохистолошком, имунохистохемијском и молекуларном дијагностиком обољења домаћих и дивљих животиња, као и патологијом репродукције. Рад на одељењу је организован кроз теренске и лабораторијске активности.
Активности на Одељењу:
- Патоанатомска дијагностика (обдукција) домаћих и дивљих животиња;
- Патохистолошка, цитолошка, имунохистохемијска и молекуларна дијагностика;
- Дијагностика трансмисивних спонгиформних енцефалопатија код говеда, оваца и коза;
- Детекција тетрациклина у костном ткиву дивљих животиња у циљу контроле оралне вакцинације дивљих животиња;
- Сарадња са ветеринарским службама и примарним произвођачима у циљу контроле и праћења здравственог статуса, давање стручних мишљења и предлога у циљу сузбијања и превенције заразних и незаразних болести;
- Контрола репродукције и сузбијање стерилитета на фармама;
- Научно-истраживачка делатност у оквиру реализације „Уговора о реализацији и финансирању научноистраживачког рада Министарстава науке, технолошког развоја и иновација Републике Србије“, као и других наућно-истраживачких пројеката финансираних из домаћих и иностраних фондова;
- Организовање обука за клиничку, патоанатомску и лабораторијску дијагностику болести.




























































